The spinal cord travels from the brain through the bones in the neck. This is like the road from Abuja airport to the stadium where it then branches in so many directions. You know how beautiful the road is to drive on and you can now get to Garki in about 30 minutes.
Not many will remember what it was like only a few years ago when we had the road constructions going on. Then, travelling to the airport requires you leave home almost 3 to 4 hours before, just to get through Lugbe. So, if you have anything important to do, you start early.
The same happens of course if there is a police checkpoint or indeed if there has been an accident on the road. You could be stuck for hours and miss your flight.
Anyway, the spinal cord travels through the bones in the neck. The bones are placed one on top of the other just like the way we build houses and joined with cement. Now, imagine if the cement has worn out, you find the wall is not stable anymore. The blocks can also start shifting forwards or backwards. Wobbly!
This is what happens in the neck of some people. Arthritis or wear and tear happens in the bones, cement and joints in the neck. This is common in some people such as bankers and lawyers. Too much sitting in one place staring at the computer!
http://newsannexonline.com/2020/06/10/surgery-made-pleasant_ada-ogar/
The spinal cord can then come under pressure and it starts to affect their lives. The pressure on the spinal cord can cause pain in the neck, pain shooting down the arms and legs, electric like sensation through the body, weakness of an arm or leg and even paralysis. Some people start walking like drunkards and some stop walking due to paralysis. It can affect passing urine and stool and of course, erection in men. It doesn’t seem to affect women in that way!
Okay, let’s not digress!
The spinal cord controls movement and sensation of the whole body. It is the beautiful airport road that leads to the central area. So, if you cannot get up in the morning, or you have serious neck pains, arm pain and difficulty passing urine, your road may be blocked in the neck. Perhaps there is a construction going on or a police checkpoint erected suddenly overnight.
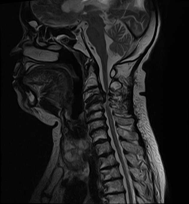
Mr John had this problem and did an MRI scan. This is the gold standard test for cervical myelopathy. Ordinary x-rays can show the bones that are wobbly but MRI scan shows how the spinal cord is being affected and where. The pressure and damage to the spinal cord was evident in Mr John. However, the pressure was from the front and back of the neck.
An operation was required. We have to remove the checkpoints and clear the road of obstruction. Remove the pressure on the spinal cord. This can only be done through an operation if the problem is severe. Nothing else works as well and immediately. Mr John required an operation from the front of his neck and then from the back.
http://newsannexonline.com/2019/08/31/shan-george-talks-about-her-spine-surgery_ada-nkong/
The recovery from such an operation depends on how quickly the patient presents and hopefully before permanent damage has been done to the spinal cord. Most people we operate on in Abuja do very well and are able to return to work and regular life within a few months.
Recently, Mrs Nwagba also showed up with arthritis in her neck and back. She needed a top to bottom operation to clear the police checkpoints in her neck and back. Yes, we did it. Like buy one, get one free.
This was ‘jara’ and all in a day’s work in Abuja!


