
Picture credit: Google
If you want cheap
If you are careless
If you are not observant
The incidence of tuberculosis is on the increase. Many people including those in whom you would least expect it are developing the disease. Recently, I got involved with the case of a medical doctor who became paralyzed due to Tuberculosis in his spine. Pray, where did he get it from?
Anyway, let’s call it TB for short
It’s less of a mouthful that way
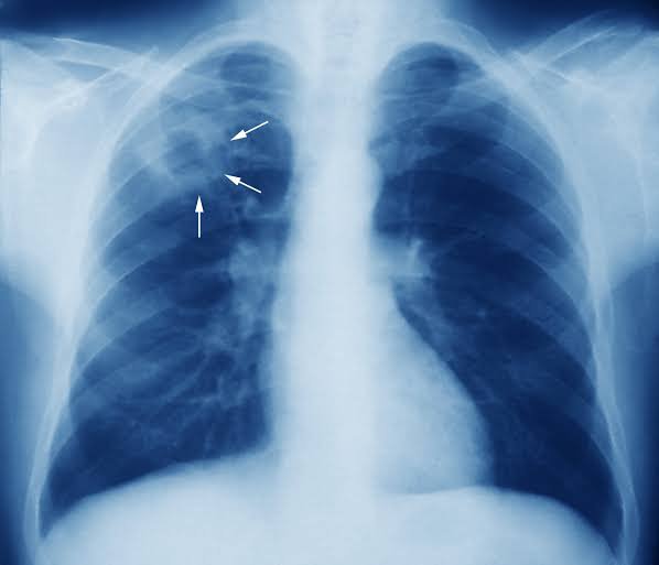
TB is a potentially serious infectious bacterial disease that mainly affects the lungs. It is caused by a germ. This is different from a virus like the one which causes Covid-19. You understand?
The bacteria that cause TB are spread when an infected person coughs, spits or sneezes. If you are constantly in the vicinity of someone infected with TB or are living with them, you can catch the disease and then suffer from it too. TB is spread through the air and a person needs to inhale only a few germs to become infected.
However, you cannot get TB from sharing drinking containers or eating utensils. Smoking or sharing cigarettes with others. Saliva shared from kissing. TB is NOT spread through shaking someone’s hand, sharing food, touching bed linens or toilet seats, or sharing toothbrushes.
Most people infected with the bacteria that cause tuberculosis don’t have symptoms. Only 5-15% of these people will fall ill with active TB disease. The rest have TB infection but are not ill and cannot transmit the disease.
When symptoms do occur, they usually include a cough (sometimes tinged with blood), weight loss, night sweats and fever. Treatment isn’t always required for those without symptoms. This is because most often we don’t know who they are.
Both TB infection and disease are curable using antibiotics. Patients with active symptoms will require a long course of treatment involving multiple antibiotics. Some treatment with about 3 different drugs can go on for as long as 18 months. TB is not a joke.
Some people without symptoms, no cough, no weight loss and no night sweats can suddenly develop TB in other areas outside of the lungs. It appeared suddenly in the bones of the medical doctor leading to paralysis. It caused a lot of swelling and injury to his spinal cord. A young man who has not, apparently, been in contact with anyone with TB.
The point is how did he get it?
Stay with me and we will get there
TB can affect the rich or poor. It can affect adults or children. It does not discriminate. However, it is more common in poor people and especially people who live in cramped spaces. About one-quarter of the world’s population is estimated to be infected by TB bacteria.
Every year, 10 million people fall ill with TB. Despite being a preventable and curable disease, 1.5 million people die from TB each year – making it the world’s top infectious killer. This is according to the World Health Organisation.
Most of the people who fall ill with TB live in low- and middle-income countries, but TB is present all over the world. About half of all people with TB can be found in 8 countries: Bangladesh, China, India, Indonesia, Pakistan, Philippines, South Africa and Nigeria.
Yours truly!
So, here we are!
There is a type of TB that can be spread from animals to man. This is called Bovine TB. Bovine TB is a disease caused by a specific type (species) of bacteria called M. bovis. Bovine TB usually affects animals such as cattle, but it can affect practically all mammals causing a general state of illness, coughing and eventual death. It can be transmitted from animals to humans as well as to other animals.
In Nigeria, we have poor sanitation, poor animal husbandry and very poor oversight by environmental and health inspection officers. Our abattoirs are poorly supervised and in a state such that infected animals can be mixed with other animal parts by unscrupulous individuals.
Infected cows sold quickly and carelessly prepared can lead to infection with TB. Buying meat infected by the disease can cause it to be transmitted to humans. Therefore, you need to be extremely careful with your source of meat, especially cows. Check and then prepare your food properly as this can destroy the germs in the meat. Otherwise you can eat your TB…..
If you do not care what you eat
If you do not prepare your food properly
It won’t matter whether you are a doctor or a nurse!

